Skader på blivende tænder
Husk, at vi anbefaler, at I har en ulykkesforsikring, som dækker tandskader
Blivende tænder skal holde resten af livet. Derfor er den korrekte behandling meget vigtig. Her kan du læse om, hvordan du skal forholde dig derhjemme. Det er eksempler på behandlinger, og kan variere alt efter, hvad der præcis er sket.
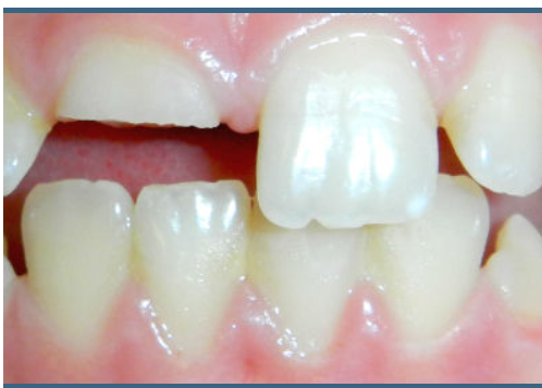
Der er slået et stykke af tanden
Bløder det fra tanden, eller er der smerter, skal du kontakte en tandlæge eller skadestue hurtigst muligt.
Bløder det ikke fra tanden, eller er der ingen smerter, kan du vente med at kontakte en tandlæge til åbningstid. Hvis det afslåede stykke kan findes, så opbevar det i munden mod kinden eller i mælk. I nogle tilfælde kan vi lime det afslåede stykke på igen. Kan det afslåede stykke ikke findes, bruger vi istedet velegnede plastmaterialer til genopbygning af tanden.
Tanden er slået løs eller skævt
Kontakt en tandlæge eller skadestue hurtigst muligt.
Tanden er slået ind i tandkødet eller den er blevet "for lang".
Kontakt en tandlæge eller skadestue hurtigst muligt.
Tanden er slået ud
Gør følgende hurtigst muligt
- Find tanden
- Undgå at røre ved roden
- Skyl tanden forsigtigt i rindende koldt vand
- Sæt tanden på plads
- Kontakt tandlæge eller skadestue
Hvis det ikke er muligt at sætte tanden på plads, så opbevar tanden enten i munden mod kinden eller i mælk. Det er vigtigt ikke at røre roden, da det kan mindske muligheden for at tanden sætter sig fast igen. Søg derefter tandlæge eller skadestue hurtigst muligt.
Hos tandlægen bliver I spurgt om I har privatforsikring, der dækker tandskader. Dette gør vi for at anmelde skaden til jeres forsikringsselskab, da man ikke altid kan garantere, at der ikke opstår skader på den slåede tand på et senere tidspunkt. Det kan ske flere år efter skaden. Skader anmeldes på skadede blivende tænder og på de fleste skader på mælketænder.


