Skader på mælketænder
Husk: Vi anbefaler, at I har en ulykkesforsikring, der dækker tandskader.
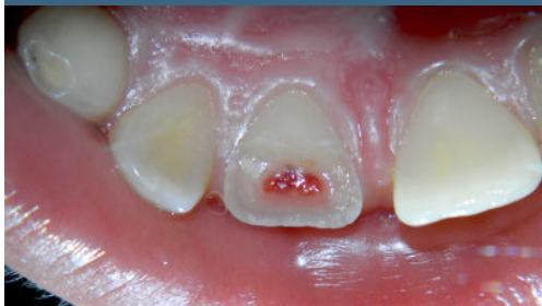
Mælketænder
Ved skader eller slag på mælketænder er det vigtigt at tænke på, at de nye blivende tænder allerede starter dannelsen omkring fødselstidspunktet. Skaderne kan se forskellige ud og behandlingen afhænger af, hvad der er sket med tanden.
Der er slået et stykke af tanden
Tanden kan beslibes eller der kan laves en lille plasterstatning. Det vigtigste er, at skaden ikke generer barnet.
Kontakt tandplejen i åbningstiden. Hvis skaden er stor, og der er smerter, så kontakt skadestue.
Tanden er slået og øm men ikke løs
Kontakt tandplejen i åbningstiden og giv barnet blød kost.
Tanden er løs men sidder hvor den plejer
Kontakt tandplejen i åbningstiden og giv barnet blød kost.
Tanden er skubbet ind i tandkødet
Kontakt tandplejen i åbningstiden. Tanden "vokser" som regel ud igen.
Tanden er skubbet indad eller udad i munden.
Kontakt tandpleje eller skadestue, hvis det er uden for tandlægens åbningstid.
Tanden er slået helt ud
Kontakt tandplejen i åbningstiden
Forsøg ikke at sætte tanden i igen, dette kan give skader på den blivende tand
Efter skade på en mælketand kan det ske, at tanden bliver mørk og misfarvet.
Det er harmløst, så længe barnet ikke klager over smerte, og så længe der ikke er kommet en tandbyld. Misfarvningen kan gå væk igen, men kan også vare ved indtil tanden tabes naturligt.


